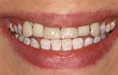
We’ll restore and perfect your teeth with professional ceramic veneers at Fresh Dental.

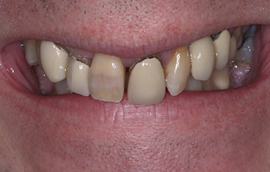
Veneers are a great solution for stained, chipped, misshaped, or crooked teeth.
Veneers are thin sheets of ceramic material, which are coloured and shaped to match your teeth. They’re then placed over and fixed to your natural teeth to cover imperfections, and can even help to close small gaps if orthodontic treatment isn’t suitable for you.
There are two types of professional dental veneers that we use; porcelain and composite. Most dental veneers in London are made from porcelain, but we also offer veneers made from composite bonding materials, which are a cheaper option.
Made of the highest quality, dental grade porcelain
Crafted in a special laboratory and glued onto your teeth
Look slightly more attractive and natural on your teeth
More expensive than composite bonding veneers
Can last for 10-15 years, depending on lifestyle factors
Made from a tooth-coloured resin material
Directly sculpted by hand onto the teeth
Require less drilling of the teeth
Less expensive than porcelain veneers
Last for 5-7 years, depending on lifestyle factors
Excellent service from beginning to end.
Excellent service from beginning to end. Wonderful care throughout. Composite veneer on my sons tooth which looks fantastic- it has changed his life. I would highly recommend this dentist.
Ceramic veneers are a very versatile treatment. Depending on the cost, veneers can be used in many different situations.
Covering surface stains and discolouration;
Restoring chipped or worn teeth;
Repairing damage caused by decay or accidents;
Treating stains caused by medications;
Creating a more balanced smile;
Closing small gaps between the teeth; and
Preventing further erosion or abrasion.
At Fresh Dental we understand that every patient is unique and has a different smile line and tooth shape. As such, we take all of these factors into consideration when creating veneers for you.
Treatment begins with a consultation, where we will discuss your goals and concerns. We’ll then take a scan of your teeth, along with photographs, and digitally design your smile and create a replica model of your desired teeth. We call this a diagnostic wax up.
At your next visit we’ll carry out a mock-up in your mouth using the design we’ve created. This will allow you to give your input and let you test drive your final smile.
Next, we’ll carefully carry out any preparation to the teeth and take another 3D scan which our skilled dental technicians will use to make your veneers. We’ll refit some provisional veneers to give you a nice smile while you’re waiting.
When your final veneers are ready, we’ll bond them to your teeth to give you that flawless smile.
Would you like to find out more? Please book your free consultation today.

Veneers at Fresh Dental start at £899, and will depend on your desired results, and whether you decide to go for porcelain veneers or composite veneers. Both are great options!
Yes. The highest quality dental care can be expensive and we want to be able to help as many people as possible achieve the smile of their dreams, so we offer interest free dental finance, our own practice dental plan, as well as a family and friends discount. Speak to a friendly team member for more information.
Porcelain veneers can last from 10-15 years in ideal situations and composite bonding veneers from 5-7 years, depending on brushing habits, aftercare, teeth grinding, and diet.
Unfortunately not! Because our teeth are porous, whitening products are easily absorbed, whereas veneers are made up of porcelain or composite material that won’t respond to whitening products (yes, even the professional grade ones)! It’s a good idea to have your teeth whitened before you have your veneers fitted, because your veneers will be matched to the shade of your natural teeth.
It’s unlikely that your veneers will fall off, but it is possible to damage them if you experience any facial injuries or impact to your mouth or teeth, and if the natural tooth underneath the veneer develops a cavity, they can detach or need to be removed. We recommend you stay away from extremely hard foods that could chip or damage veneers, and make sure you keep your teeth and gums healthy to maintain your dental veneers as well as your overall oral health.
46 Craven Road
Bayswater
London
W2 3QA