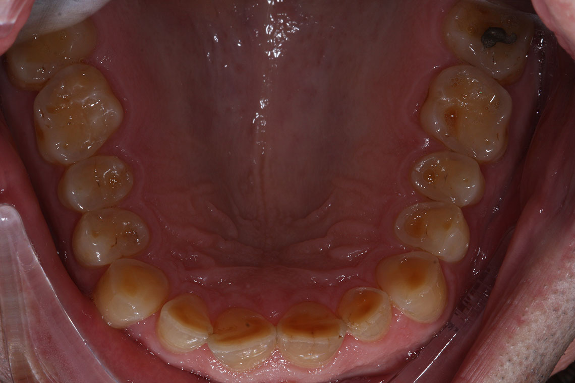
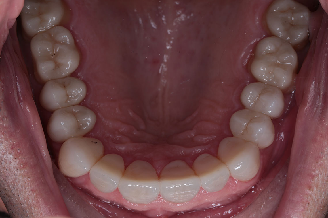
his lovely gentleman had severe tooth wear from grinding and wanted to transform his smile and bite. We first designed all the new shapes and bite positions using a digital smile design. We followed this up with a trial smile phase to make sure he could get used to the new bite and shapes. Finally we rebuilt the whole mouth using a combination of ceramic no preparation onlays and veneerlays for the back teeth. We used composite bonding to rebuild the lower front teeth and the backs of the upper front teeth. Finally we placed porcelain veneers to the upper six teeth to rebuild the front surfaces of them. We finished this case by providing a Michigan nighttime splint to protect the work.






Today, he brought my smile back and I will always be grateful.
You never know when you are reading a genuine review, this one comes from the bottom of my heart. Dr Yovaan Ilangakoon is a true expert and professional. Today, he brought my smile back and I will always be grateful to him. The service and care from him was nothing short of impeccable. I also have to give a mention to Adriana, at front of house, for her genuine interest and care in my treatment and her never ending willingness to help. I will finish it here. Dr Yovaan, you are honestly amazing ! And I’m sure my tears of happiness were a true reflection of how I much I appreciate you and for what you have done. I will continue to recommend you and will be sure to return in the future. Thank you again!
46 Craven Road
Bayswater
London
W2 3QA